Skip to main content
BrainCited

研究プロセス

126 査読済み研究からの図表

すべて Vitamin E Green Tea Extract (EGCG) Citicoline Folate Zinc Bacopa monnieri Omega-3 Fatty Acids (DHA/EPA) Alpha-Lipoic Acid Creatine Resveratrol Vitamin D L-Theanine Vitamin B12 Ginkgo biloba Lutein & Zeaxanthin Melatonin Rhodiola rosea Panax Ginseng Phosphatidylserine Taurine Curcumin Uridine Monophosphate
All Types Chart Diagram Photograph Flowchart Forest Plot Micrograph Other
Figure 3. Pictorial representation of Cordyceps therapeutic potential in general. Table 2. Nutraceutical products from Cordyceps available on the global market.
Figure 8

Cordyceps-derived products are available globally as nutraceutical supplements. This figure combines a pictorial representation of Cordyceps' therapeutic potential with a table of commercially available nutraceutical formulations.

Cordycepin for Health and Wellbeing: A Potent Bioactive Metabolite of an Entomopathogenic …

Figure 24
Figure 24

Comprehensive drug interaction summary for vortioxetine, including effects on and by concomitant medications. Clinicians are advised to consider CYP2D6 inhibitor status when prescribing vortioxetine.

Vortioxetine: Clinical Pharmacokinetics and Drug Interactions.

Figure 11
Figure 11

Supplementary or concluding data on manganese homeostasis consequences are presented. The review emphasizes that maintaining manganese within a narrow physiological range is critical for preventing both deficiency-related enzyme dysfunction and toxicity-related neurodegeneration.

Consequences of Disturbing Manganese Homeostasis.

Figure 3
Figure 3

Preclinical and clinical evidence for red grape polyphenol interventions in diabetes management is reviewed, highlighting effects on glycemic control, insulin sensitivity, and diabetic complications.

Role of red grape polyphenols as antidiabetic agents.

Figure 3
Figure 3

[Not Available].

Figure 4
Figure 4

[Not Available].

Figure 4 Diagram of the mechanism of GB on independent risk factors for atherosclerosis. Trimethylamine N-oxide (TMAO) levels in the blood can be utilized as a predictor of early atherosclerosis. Trimellitic anhydride (TMA) is derived from digested and ab
Figure 5

Figure 4 Diagram of the mechanism of GB on independent risk factors for atherosclerosis. Trimethylamine N-oxide (TMAO) levels in the blood can be utilized as a predictor of early atherosclerosis. …

[Not Available].

Figure 1
Figure 1

Effects of α-lipoic acid on LPS-induced neuroinflammation and NLRP3 inflammasome activation through …

Figure 2
Figure 2

Effects of α-lipoic acid on LPS-induced neuroinflammation and NLRP3 inflammasome activation through …

Figure 3
Figure 3

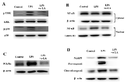
Effects of α-lipoic acid on LPS-induced neuroinflammation and NLRP3 inflammasome activation through …

Figure 4
Figure 4

Effects of α-lipoic acid on LPS-induced neuroinflammation and NLRP3 inflammasome activation through …

Figure 4
Figure 4

Formulation, characterization, and evaluation of curcumin-loaded ginger-derived nanovesicles for anti-colitis activity.

Figure 8
Figure 8

Formulation, characterization, and evaluation of curcumin-loaded ginger-derived nanovesicles for anti-colitis activity.

Figure 9
Figure 9

Formulation, characterization, and evaluation of curcumin-loaded ginger-derived nanovesicles for anti-colitis activity.

Figure 10
Figure 10

Formulation, characterization, and evaluation of curcumin-loaded ginger-derived nanovesicles for anti-colitis activity.

Figure 11
Figure 11

Formulation, characterization, and evaluation of curcumin-loaded ginger-derived nanovesicles for anti-colitis activity.

Figure 12
Figure 12

Formulation, characterization, and evaluation of curcumin-loaded ginger-derived nanovesicles for anti-colitis activity.

Figure 1
Figure 1

Alopecia and platelet-derived therapies.

Figure 2
Figure 2

Alopecia and platelet-derived therapies.

Figure 3 Location of the PL, AA-PRP, and saline treatment zones for Subject C. Forty grafts were placed in each box, and hair checks were conducted 14 weeks post-surgery. PL, platelet lysate; AA– PRP, autologous activated platelet rich plasma.
Figure 3

Figure 3 Location of the PL, AA-PRP, and saline treatment zones for Subject C. Forty grafts were placed in each box, and hair checks were conducted 14 weeks post-surgery. PL, …

Alopecia and platelet-derived therapies.

Figure 4
Figure 4

Alopecia and platelet-derived therapies.

Figure 5
Figure 5

Alopecia and platelet-derived therapies.

Before
Figure 6

Before

Alopecia and platelet-derived therapies.

Figure 2
Figure 2

Sustaining an ageing population: the role of micronutrients in frailty and cognitive …

6ページ中1ページ目